- 医院电话: 028-86277120
- 医院地址: 成都市武都路3号
- 技术支持 天健世纪
“王主任,你看我恢复的多好啊,真是太感谢您了!是您给了我第二次生命!”近日,在成都八一骨科医院诊室里,赵大爷(化名)握着骨六科主任、主任医师王万垠的手激动的说道。赵大爷今年60岁,3个月前因外伤导致颈部及锁骨多处骨折,今天是他术后三个月复查的日子,赵大爷对于治疗效果极其满意,连连感谢王万垠主任。时间回到三个月前,赵大爷车祸后,出现颈部及胸部剧烈疼痛,颈部僵硬不能活动,且伴有四肢麻木无力,呼吸困难等症状。受伤后,赵大爷被立即送往当地医院,该院因患者伤势过重建议转院治疗。就在家人焦急万分、一筹莫展之时,有人提议成都八一骨科医院是公立三级甲等骨伤专科医院,技术和口碑都非常好,于是,在全面了解后,家人将赵大爷送往了我院。
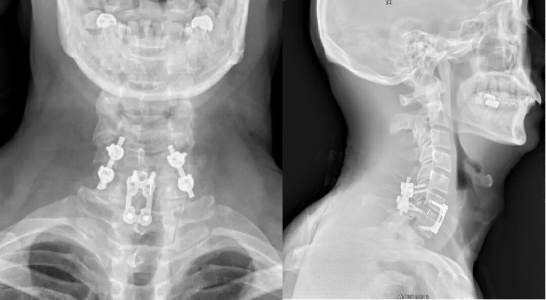
到院后,经过王万垠主任仔细查体及综合影像学检查结果,诊断为:1、颈6骨折脱位并小关节交锁;2、颈髓损伤(ASIA分级C级);3、左胸多发性肋骨骨折并气胸 、肺挫伤;4、左锁骨骨折。“我们先是采取了颅骨牵引,尝试颈椎复位,但患者骨折的位置很特殊,于是又调整了治疗方式。”王万垠主任介绍道。 (术前) 治疗上,王万垠主任组织多学科会诊讨论,并与其家人仔细沟通后,颈部的骨折决定采用“颈后路小关节脱位复位、后路侧块钉棒固定融合术”“颈前路颈6/7椎间盘切除植骨融合内固定术”,术后继续中医药、针灸、理疗康复;“左胸多发性肋骨骨折并气胸 、肺挫伤、左锁骨骨折”由骨三科(正骨科)主任、主任医师李国帅运用“何天佐传统中医药正骨疗法”进行手法复位。经过两周的住院治疗及康复,赵大爷顺利出院。 (术后) “当时听到要手术,我们都非常的担心和焦虑,毕竟他年纪大了,但王主任和周落亮、陈杨帆医生耐心的和我们沟通,也给我们看了很多相似的案例,这才消除了我们的顾虑。”赵大爷家人回忆道。 如今,3个月过去了,赵大爷再次来院复查,经过王万垠主任的仔细查体,发现赵大爷颈、胸、肩痛消失,颈椎及四肢活动度非常好。“真是太感谢王主任了,真是没想到啊,这么短的时间,我能恢复的这么好。”赵大爷激动的说道。
王万垠主任介绍,老年患者通常患有心脑血管、骨质疏松等多种基础疾病,一旦某个基础疾病出现恶化,病情就会非常凶险。在骨六科的住院病人中老年患者居多,70岁以上的患者占总住院患者的80%以上,90岁以上的超高龄患者也是屡见不鲜,在高龄患者的治疗和护理上科室医护团队的经验非常丰富,广受患者好评。
川公网安备 51010502010932号
